Handheld Portable X-Ray Machine MIN-X PRO
The MIN-X Pro is part of the Star Nuke brand, known for providing portable and lightweight X-ray solutions. This device is designed for handheld use and is suitable for use in field hospitals, emergency care, military settings, and rural healthcare. The MIN-X Pro offers a balance between portability and advanced imaging quality, allowing for quick and efficient diagnostics in various medical scenarios.


Product Link
Key Features of MIN-X Pro:
Portability:
The MIN-X Pro is lightweight and compact, designed for easy transport and handling, making it ideal for use in mobile units, trauma centers, and field settings.
Its small size allows it to be used in tight spaces or environments where traditional large X-ray machines are not feasible.
Battery-Powered Operation:
The unit is powered by a rechargeable battery, allowing it to be used in remote areas or during power outages. This feature enhances its mobility and makes it particularly useful in emergency or disaster-stricken areas.
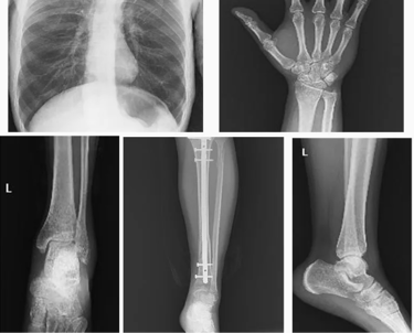
High-Quality Imaging:
The MIN-X Pro provides high-resolution X-ray images, ensuring that diagnostic accuracy is not compromised despite its portable design.
The machine uses advanced technology to reduce radiation exposure while still providing excellent imaging clarity.
Wireless Connectivity:
Some models of the MIN-X Pro support wireless communication, enabling quick transfer of images to diagnostic systems or cloud storage for remote consultations or easy access.
Ease of Use:
The MIN-X Pro is designed with user-friendly controls, making it easy for healthcare providers to operate without extensive training.
It offers simple touch-screen operation for quick setup and image capture.
Durability:
Built with robust materials, the MIN-X Pro is designed to withstand the demands of frequent handling in mobile environments.
Flexibility in Positioning:
The machine allows for easy maneuverability and adjustment of the X-ray head, making it suitable for a variety of diagnostic positions.


Applications of MIN-X Pro:
Emergency Medical Services:
The MIN-X Pro is ideal for use in emergency rooms, ambulances, and mobile clinics, where immediate imaging is required for trauma, fractures, and other urgent medical conditions.
Rural Healthcare:
Its portability and battery-powered operation make it perfect for use in remote areas, where access to stationary X-ray equipment may be limited.
Military and Disaster Relief:
In military field hospitals or disaster areas, the MIN-X Pro can be deployed to provide rapid X-ray diagnostics in environments where traditional equipment may not be available.
Orthopedic Imaging:
It's often used in orthopedic settings to diagnose fractures, joint dislocations, and other bone-related conditions.
Pediatric Care:
Due to its portability, it’s useful in pediatric care where children need quick, accurate imaging with minimal discomfort.


Why Choose MIN-X Pro?
Portability and Convenience:
Its lightweight and compact design make it easy to transport and ideal for use in settings that require frequent movement or where space is limited.
Cost-Effective Solution:
The MIN-X Pro offers a more affordable alternative to traditional, larger X-ray machines, making it a cost-effective option for clinics, rural health services, and mobile units.
Enhanced Patient Care:
The ability to quickly obtain high-quality diagnostic images allows for faster treatment decisions, especially in emergency or trauma settings, leading to better patient outcomes.
Wide Range of Applications:
It is versatile enough to be used in multiple medical fields, including orthopedics, emergency care, pediatrics, and veterinary practices, as well as in military and disaster relief operations.
Battery-Powered and Wireless:
The battery-operated design and wireless capabilities make the MIN-X Pro especially convenient for use in remote areas, offering the freedom to work without the constraints of wired connections or constant access to electricity.
User-Friendly Interface:
The intuitive interface ensures that healthcare professionals can operate the machine with ease, without extensive training, which increases efficiency and reduces errors.


